-
Mobile Chest X-Ray Analysis
an iOS and Android app (Open Source)
Experiment complete
Thanks for the feedback!
An experimental project demonstrating how developers can infuse AI into their own mobile applications.
Description
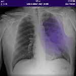
Mobile Chest X-Ray Analysis is an experimental project to showcase the offline Chest X-Ray model in Xamarin for Android and iOS. By leveraging AI technologies developed by the Microsoft Cloud AI Team we hope to increase the efficiency, accuracy, and speed with which radiologists can deliver diagnoses on 14 different chest conditions. In particular, our project can address the lack of radiologists available in developing countries by providing an alternate method of diagnosis for local doctors. Mobile Chest X-Ray Analysis showcases how developers can infuse AI into their own mobile applications.
Disclaimer: This sample code is intended for research and development use only. The sample code is not intended for use in clinical diagnosis or clinical decision-making or for any other clinical use and the performance of the sample code for clinical use has not been established.
Meet the team

Brendan Kellam, Charmaine Lee, Jacky Lui, Megan Roach, Michaela Tsumura, Noah Tajwar, Robert Lee
The Microsoft Garage Internship
Vancouver, BC